fbpx

Officer Dental Care

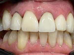
Case 3

Vin – Porcelain Veneers

Case3-01Case3-02
Vin was treated with Porcelain Veneers and crowns to restore the colour, shape and function of his teeth. He claims the work was done beautifully and cannot be happier about the outcome.
Vin’s teeth underwent a stunning transformation with the application of porcelain veneers and crowns, an extraordinary dental treatment that meticulously restored the color, shape, and function of his teeth in Officer Dental Care. Once plagued by dental imperfections, Vin now radiates with confidence and joy, as his smile has been beautifully rejuvenated. The remarkable work done on his teeth has surpassed his expectations, leaving him overjoyed and immensely grateful for the remarkable outcome. With each glance in the mirror, Vin cannot help but marvel at the newfound beauty of his smile, a testament to the skill and artistry of the dental professionals who brought about this remarkable change.
Not only have the porcelain veneers and crowns enhanced Vin’s appearance, but they have also significantly improved the functionality of his teeth. The restoration of their shape and function has granted Vin a renewed ability to bite, chew, and speak with ease and comfort. No longer hindered by dental concerns, Vin embraces each day with a deep sense of contentment and satisfaction. He gladly attributes his happiness to the exceptional dental work he received, acknowledging the immense skill and dedication of his dental team. Vin’s smile now shines brightly, a reflection of his unwavering appreciation and admiration for the beautiful transformation that has profoundly impacted his life.